반응형
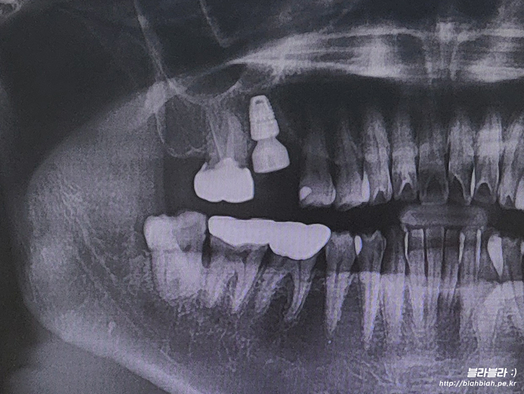
2024.03.06 내 인생에 임플란트라니...
30대에 임플란트 시작 ㅠ_ㅜ

치아관리 제대로 못한 결말은
결국 30대에 임플란트...
이걸 또 언제 마무리하고
반대편치아를 또 시작해야하는건지... ㅠ_ㅜ

반응형
2024.03.06 내 인생에 임플란트라니...
30대에 임플란트 시작 ㅠ_ㅜ

치아관리 제대로 못한 결말은
결국 30대에 임플란트...
이걸 또 언제 마무리하고
반대편치아를 또 시작해야하는건지... ㅠ_ㅜ

글에 남긴 여러분의 의견은 개 입니다.